안녕하세요! 여러분 마니느리 부부의세계 느리입니다~
그동안 잘 지내셨나요? 저희 많은 일이 있었어요!
저희 부부에게 6년 만에 아기 천사가 찾아와주었답니다.
처음 임신 테스트기 2줄을 보았던 2024년 6월 24일
너무 희미해서 믿어지지 않았던 순간이에요
남편과는 3월부터 주말부부였던 때여서
병원 가서 확인하기 전까지는 비밀로 하고 있었어요
7월 1일 병원을 다녀왔는데 수치도 아직 확실치 않을 정도로 낮았고
아기집도 보이지 않아서 아직 확신할 수 없는 상황이었어요
병원에서는 처음 피검사한 수치 98보다 더블링이 되어야
임신이 확실시되고 낮아지거나 많이 오르지 않는다면
유산 또는 자궁 외 임신이라고 일단 기다려보자고 하셨어요

👆 더블링을 확인하고도 아기집이 보이지 않아서 계속 임테기로 확인해야 했어요👆
그렇게 원래 다니던 병원에 예약을 하고
진료일인 7월 11일 드디어 도담이와 아기집을 보고 올 수 있었습니다.
태명이 도담이인 이유는
도담이란? 아이들이 아무 탈 없이 잘 놀고, 자라는 모습이라는 뜻이에요
그래서 뱃속에서 열 달 동안 아무 탈 없이 잘 놀고 잘 자라라는 뜻에서
태명이 도담이가 되었답니다.

👆 처음 아기집을 확인하고 대기실에서 얼마나 울었는지 몰라요. 드디어 제가 엄마가 되었다는 생각에요👆
믿기지 않던 가슴을 잡고 임신확인서를 발급받고 보건소에서 임산부 뱃지까지
받고 나서야 와.... 나 정말 임신했구나!!!!!!!!!!!!!라고 다시 한번 생각했던 것 같아요

👆 6주부터 시작된 입덧...👆
저는 입덧, 먹덧, 물덧, 토덧 덧이란 덧은 다 겪은 것 같아요
그래서 10주가 지날 때까지 몸무게가 그대로거나 늘지 않고 오히려 빠졌던 것 같아요

👆 드디어 하리보 아기 젤리 곰을 볼 수 있던 8주👆
작은 쌀알에서 조금 큰 하리보 젤리가 되기까지
저도 도담이도 정말 열심히 각자의 최선을 다하고 있었던 것 같아요


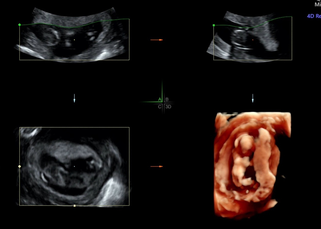
👆 이제는 제법 사람의 모습이 많이 보였던 12주 4일차👆
임신 12주에 했던 초기 정밀 초음파
도담이가 얼굴을 보여주지 않을까 봐 초코라떼도 먹고 밥도 잘 챙겨 먹었는데
얼굴 보기가 쉽지 않았어요 ㅠㅠ 그래서 초음파 선생님께서 한 10분 넘게
배를 흔들고 저도 자세를 계속 바꾸면서 드디어 도담이 얼굴을 볼 수 있었어요
목 투명대와 코뼈 모두 정상이라 초기 정밀 초음파는 통과했습니다!!




👆 저는 주수마다 셀프 주수 사진을 남기고 있어요!👆
13주 때부터 열심히 찍어온 주수 사진 나중에 도담이에게
보여주는 의미 있는 사진이 될 것 같아요!
지난 토요일 중기 정밀 초음파로 도담이는 아들이 확정되었답니다
예정일은 2025년 3월 예정이에요 ㅎㅎ
아무것도 모르고 부족한 엄마아빠이지만
도담이와 함께 출산하는 그날까지 열심히 건강히 잘
생활하다가 만날게요! 여러분!!
도담이와 마니느리 부부의세계를 응원해 주세요!




'마니느리 부부의 일상' 카테고리의 다른 글
| 임신 24주차에는 어떤 변화가 생길까? (2) | 2024.11.18 |
|---|---|
| 주말부부가 되었어요~ (0) | 2024.04.01 |
| 오늘 소소한 일상 기록 (0) | 2024.01.29 |
| 오늘에 소소한 일상 기록 (4) | 2024.01.25 |
| 올 한해 느리의 버킷리스트 (2) | 2024.01.24 |